Digitale Kieferorthopädie
in Dresden
Ihre Fachpraxis für Kieferorthopädie in Dresden
Die Digitalisierung hat auch vor der Kieferorthopädie nicht Halt gemacht. Und das ist auch gut so! Unsere Fachzahnarztpraxis der Kieferorthopädie am Schillerplatz in Dresden hat jeglichen Fortschritt der digitalen Kieferorthopädie mitgemacht. Wir freuen uns täglich über die Vorzüge vollständig digital arbeiten zu können und unsere Patienten erfreuen sich ebenfalls:
Was bedeutet das voll digitale Arbeiten?
Dabei werden jegliche Befunde digital erhoben. Dies geschieht über die digitale Modellherstellung mittels unserem Intraoralscanner Itero und unserem digitalen Röntgengerät. Es wird eine vollständig digitale Patientenakte erstellt. Die kieferorthopädische Planung erfolgt in diesem Fall voll digital.


Wozu dient der 3D Drucker?
Unser 3D-Drucker ermöglicht uns modernste, präzise Behandlungsmethoden in drei wichtigen Bereichen:
- Herstellung von Behandlungsgeräten: Digitale Modelle werden gedruckt, um darauf herausnehmbare Zahnspangen, Schienen oder Retainer herzustellen
- Diagnostische Modelle: Erstellung von Begutachtungsmodellen für Krankenkassen
- Chirurgische Planung: Unterstützung bei komplexen Fällen mit kombiniert kieferorthopädisch-kieferchirurgischer Therapie
Wie funktioniert das, eine digitale Befunderhebung?
Anstatt unangenehmer Abdrücke mittels Alginat ist es in unserer Praxis möglich einen schnellen intraoralen Scan der Zähne und Kiefer zu bekommen. Das daraus erzeugte 3D-Modell wird digital ausgewertet und in der digitalen Akte des Patienten aufgenommen.
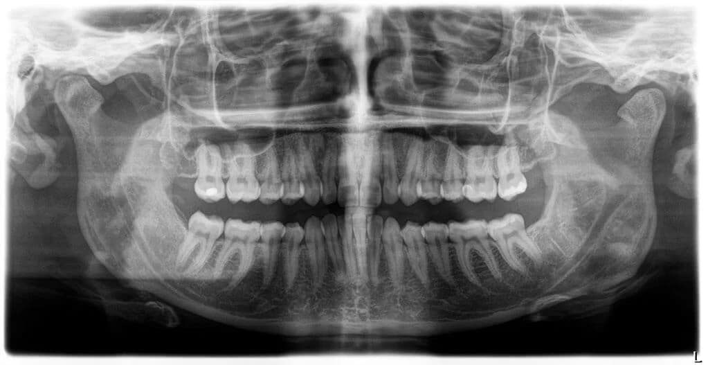
Die notwendigen Röntgenaufnahmen werden dank strahlungsarmer digitaler Durchführung erzeugt. Somit bekommen Patienten wesentlich weniger Strahlenbelastung zugemutet; besonders wichtig ist dies für unsere jungen Patienten.


Und das Beste:
Obwohl die Strahlenbelastung sehr gering ist, entstehen durch die moderne Multilayer-Technik gestochen scharfe Panoramaaufnahmen und Fernröntgenseitenbilder, sodass wir Ihre Zähne und Ihren Kiefer optimal beurteilen können.